Hsv Esophagitis Punched Out Ulcers - Gastroesophageal Reflux Disease Gerd Ppt Download / Candida wont present with a visible ulcer, it'll have candidial growth on top(duh!

Hsv Esophagitis Punched Out Ulcers - Gastroesophageal Reflux Disease Gerd Ppt Download / Candida wont present with a visible ulcer, it'll have candidial growth on top(duh!. Symptoms include pain or a burning sensation behind or below the sternum, the flat bone that runs down the center of the chest. Hsv shows punched out ulcers in esophagus. Cmv esophagitis linear ulcers owl's eye cells. Who is at risk for infectious esophagitis? Herpes simplex virus (hsv) esophagitis.

Think of this in atopic patients, like those with asthma, eczema or food allergies. Differential diagnosis between herpes simplex virus (hsv) esophagitis and cytomegalovirus (cmv) esophagitis is challenging the endoscopic features of esophagitis were categorized and scored as follows: If you have a health problem or are having treatment that weakens your immune system. Esophagitis, also spelled oesophagitis, is a disease characterized by inflammation of the esophagus. Other pathogens include cytomegalovirus (cmv), herpes simples virus (hsv) and hiv (idiopathic) esophagitis may be the cause if no other pathogens are found.

Disorders Of The Esophagus Ppt Video Online Download
Disorders Of The Esophagus Ppt Video Online Download from slideplayer.com
Herpes simplex virus (hsv) esophagitis. Using medications, bodily infections, and exposure to stomach acid are. Think of this in atopic patients, like those with asthma, eczema or food allergies. Large ulcers (red, black and white arrows) are seen in these two views of the distal esophagus from. This can help you and your doctor figure out which foods might cause your esophagitis. Histology is rather nonspecific, with erosions. People with a normal immune system are not likely to get infectious esophagitis. Other topic reviews related to herpes simplex type.

Thrush (oropharyngeal candidiasis) and ulcers suggestive of hsv or acute hiv infection may serve as a clue that esophageal involvement is also present.

Treatment for esophagitis depends on the underlying cause and the severity of tissue damage. Herpes esophagitis is a viral infection of the esophagus caused by herpes simplex virus (hsv). Peptic ulcer disease (gross) h. Hsv shows punched out ulcers in esophagus. Using medications, bodily infections, and exposure to stomach acid are. Occasionally, herpes esophagitis manifests as multiple plaquelike lesions in the esophagus, but this infection is more commonly associated with small, superficial ulcers (see herpes esophagitis, below). Although hsv esophagitis is much more common in immunosuppressed individuals, it can occur in healthy persons. Other topic reviews related to herpes simplex type. People with a normal immune system are not likely to get infectious esophagitis. Other pathogens include cytomegalovirus (cmv), herpes simples virus (hsv) and hiv (idiopathic) esophagitis may be the cause if no other pathogens are found. Thrush (oropharyngeal candidiasis) and ulcers suggestive of hsv or acute hiv infection may serve as a clue that esophageal involvement is also present. Hsv esophagitis is the second most common cause of infectious esophagitis and it occurs in both immunocompromised and immunocompetent patients. Cmv esophagitis linear ulcers owl's eye cells.

It connects the pharynx to the stomach; Esophagitis is an inflammation of the lining of the esophagus, the tube that carries food from the throat to the stomach. Candida and herpes simplex virus (hsv) esophagitis has been reported in 2% to 4% in immunocompromised patients. Herpes esophagitis is an inflammation of the esophagus due to herpes simplex virus. Who is at risk for infectious esophagitis?

Herpes Simplex Esophagitis
Herpes Simplex Esophagitis from reader015.staticloud.net
Esophagitis is when the lining of your esophagus becomes irritated and inflamed. Thrush (oropharyngeal candidiasis) and ulcers suggestive of hsv or acute hiv infection may serve as a clue that esophageal involvement is also present. Candida, hsv1 (punched out lesions), cmv (linear lesions) eosinophilic esophagitis: Discrete ulcers or ulcers with vesicles, bullae, or pseudomembranes. While the histopathology reveals eosinophilic intranuclear inclusions in multinuclear squamous cells at the margin of the ulcer. Large ulcers (red, black and white arrows) are seen in these two views of the distal esophagus from. Herpes esophagitis is an inflammation of the esophagus due to herpes simplex virus. Biopsies should be taken from both the center and periphery of the ulcer.

Ulcers can coalese and form black esophagus histology details:

Viral culture if no treatment response. Herpes esophagitis is an inflammation of the esophagus due to herpes simplex virus. Treatment for esophagitis depends on the underlying cause and the severity of tissue damage. Occasionally, herpes esophagitis manifests as multiple plaquelike lesions in the esophagus, but this infection is more commonly associated with small, superficial ulcers (see herpes esophagitis, below). While the histopathology reveals eosinophilic intranuclear inclusions in multinuclear squamous cells at the margin of the ulcer. Herpes simplex virus (hsv) esophagitis. Pylori or chronic nsaid use usually in superior duodenum or pylorus of the stomach perforation, obstruction, and anemia can result. Ulcers can coalese and form black esophagus histology details: Even in someone who already has a herpes infection in the mouth, it rarely spreads down to the esophagus if the immune system is normal. Who is at risk for infectious esophagitis? Endoscopy reveals discrete, punched out ulcers along the length of the esophagus. Must rule out hsv infection as cause of esophageal ulcers, particularly from immunocompromised patients. Hsv esophagitis punched out ulcer tzanck test for syncitia.

Herpes esophagitis is a viral infection of the esophagus caused by herpes simplex virus (hsv). Viral culture if no treatment response. Swallowed food and liquids normally pass through it. Esophagitis, also spelled oesophagitis, is a disease characterized by inflammation of the esophagus. Esophageal ulcers are a type of peptic ulcer that develops between the throat and the stomach.

Internal Medicine Board Review 2009 Gastroenterology Ppt Download
Internal Medicine Board Review 2009 Gastroenterology Ppt Download from slideplayer.com
Esophagitis can cause painful, difficult swallowing and chest pain. Candida wont present with a visible ulcer, it'll have candidial growth on top(duh! It connects the pharynx to the stomach; If you have a health problem or are having treatment that weakens your immune system. While the histopathology reveals eosinophilic intranuclear inclusions in multinuclear squamous cells at the margin of the ulcer. Even in someone who already has a herpes infection in the mouth, it rarely spreads down to the esophagus if the immune system is normal. Hsv esophagitis is the second most common cause of infectious esophagitis and it occurs in both immunocompromised and immunocompetent patients. You'll see rings in the esophagus and biopsy will show eosinophils.

Who is at risk for infectious esophagitis?

Hsv esophagitis punched out ulcer tzanck test for syncitia. Candida wont present with a visible ulcer, it'll have candidial growth on top(duh! Herpes simplex virus (hsv) esophagitis. Differential diagnosis between herpes simplex virus (hsv) esophagitis and cytomegalovirus (cmv) esophagitis is challenging because. Infectious esophagitis in the immunocompetant. Hsv esophagitis is the second most common cause of infectious esophagitis and it occurs in both immunocompromised and immunocompetent patients. Even in someone who already has a herpes infection in the mouth, it rarely spreads down to the esophagus if the immune system is normal. Differential diagnosis between herpes simplex virus (hsv) esophagitis and cytomegalovirus (cmv) esop. Hsv shows punched out ulcers in esophagus. Herpes esophagitis is a viral infection of the esophagus caused by herpes simplex virus (hsv). Endoscopy reveals discrete, punched out ulcers along the length of the esophagus. „ odynophagia is the predominant presenting symptom. Esophagitis can cause painful, difficult swallowing and chest pain.

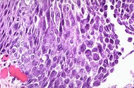
Florid herpes esophagitis with diagnostic cowdry a inclusions and multinucleated cells with nuclear molding and ground glass nuclei hsv esophagitis. „ odynophagia is the predominant presenting symptom.

Comments